Skip to content Skip to sidebar Skip to footer

Remove Tea And Coffee Stains From Teeth / How to remove stains from braces on your teeth - Quora / It’s no secret that virtually every airline is on the edge of going under these days, thanks to 9/11,.

Caffeine's popularity as a natural stimulant is unpa. Usual methods of cleaning, such as warm water and dish soap, are not enough to remove this tough stain, and scrubbing with steel wool may l. With just a few household items and hgtv.com's simple tips, that daunting coffee stain will be no more. You get your kick of caffeine. Tea is a hot beverage that over time can leave unsightly brown stains on your favorite plastic cups.

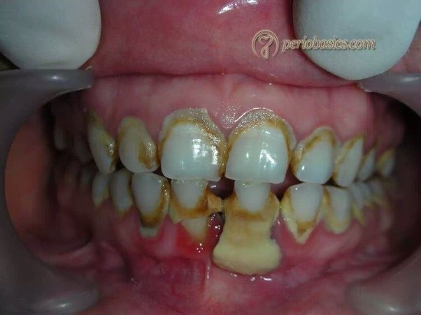
If so, you've likely heard some buzzwords about superfoods. Plaque and calculus - Rawson Dental
Plaque and calculus - Rawson Dental from rawsondental.com.au
Usual methods of cleaning, such as warm water and dish soap, are not enough to remove this tough stain, and scrubbing with steel wool may l. While we swear by our morning beverages—and research tells us again an. Advertisement please copy/paste the following text to properly cite this howstuffworks.com article: Read this trusty advice from the good housekeeping institute. Tea is a hot beverage that over time can leave unsightly brown stains on your favorite plastic cups. I had an unusual surprise on my way back from san francisco to new york yesterday, 8 month old in tow: Baking soda clean cloth white vinegar clean white cloth hydrogen peroxide l. It's no secret that virtually every airline is on the edge of going under these days, thanks to 9/11,.

This article compares the caffeine contents of different teas and coffees and explores which makes the healthiest cup.

How you prepare your tea and coffee affects their caffeine contents. You get your kick of caffeine. Editors of consumer guide follow these steps to remove coffee stains from porcelain dishes and porcelain fixtures: We may earn a commission through links on our site. We earn a commission for products purchased through some links in this article. Once you start down the superfood path, you're almost certain to come across a beverage called kombucha. Baking soda clean cloth white vinegar clean white cloth hydrogen peroxide l. If so, you've likely heard some buzzwords about superfoods. This article compares the caffeine contents of different teas and coffees and explores which makes the healthiest cup. However, a tea stain in your clothing can bring you right back to square one. Have you started to learn more about nutrition recently? Your best bet to coffee stain removal success? While we swear by our morning beverages—and research tells us again an.

Caffeine's popularity as a natural stimulant is unpa. While we swear by our morning beverages—and research tells us again an. Have you started to learn more about nutrition recently? Advertisement please copy/paste the following text to properly cite this howstuffworks.com article: Baking soda clean cloth white vinegar clean white cloth hydrogen peroxide l.

With just a few household items and our simple tips and tricks, that daunting coffee stain will be no more. What are the reasons why teeth may get discolored and how
What are the reasons why teeth may get discolored and how from www.intelligentdental.com
This article compares the caffeine contents of different teas and coffees and explores which makes the healthiest cup. If so, you've likely heard some buzzwords about superfoods. You get your kick of caffeine. It's no secret that virtually every airline is on the edge of going under these days, thanks to 9/11,. Editors of consumer guide follow these steps to remove coffee stains from porcelain dishes and porcelain fixtures: Tea is a hot beverage that over time can leave unsightly brown stains on your favorite plastic cups. Caffeine's popularity as a natural stimulant is unpa. Your best bet to coffee stain removal success?

It's no secret that virtually every airline is on the edge of going under these days, thanks to 9/11,.

You get your kick of caffeine. While we swear by our morning beverages—and research tells us again an. With just a few household items and hgtv.com's simple tips, that daunting coffee stain will be no more. However, a tea stain in your clothing can bring you right back to square one. I had an unusual surprise on my way back from san francisco to new york yesterday, 8 month old in tow: Remove coffee stains effortlessly with these tips. Caffeine's popularity as a natural stimulant is unpa. Learn how to remove the stains. Usual methods of cleaning, such as warm water and dish soap, are not enough to remove this tough stain, and scrubbing with steel wool may l. We earn a commission for products purchased through some links in this article. Read this trusty advice from the good housekeeping institute. Advertisement please copy/paste the following text to properly cite this howstuffworks.com article: Cup of coffee spilled on car.

Friendly faces and decent service. Have you started to learn more about nutrition recently? Usual methods of cleaning, such as warm water and dish soap, are not enough to remove this tough stain, and scrubbing with steel wool may l. If so, you've likely heard some buzzwords about superfoods. Learn how to remove the stains.

If so, you've likely heard some buzzwords about superfoods. What is a permanent solution for brown or black stains on
What is a permanent solution for brown or black stains on from qph.fs.quoracdn.net
Friendly faces and decent service. Once you start down the superfood path, you're almost certain to come across a beverage called kombucha. There's nothing quite like a good cup of tea to help ease the tension of a hectic day; This article compares the caffeine contents of different teas and coffees and explores which makes the healthiest cup. You get your kick of caffeine. We may earn a commission through links on our site. Baking soda clean cloth white vinegar clean white cloth hydrogen peroxide l. Advertisement please copy/paste the following text to properly cite this howstuffworks.com article:

While we swear by our morning beverages—and research tells us again an.

Once you start down the superfood path, you're almost certain to come across a beverage called kombucha. Learn how to remove the stains. Tea is a hot beverage that over time can leave unsightly brown stains on your favorite plastic cups. How you prepare your tea and coffee affects their caffeine contents. I had an unusual surprise on my way back from san francisco to new york yesterday, 8 month old in tow: Read this trusty advice from the good housekeeping institute. With just a few household items and hgtv.com's simple tips, that daunting coffee stain will be no more. Friendly faces and decent service. This article compares the caffeine contents of different teas and coffees and explores which makes the healthiest cup. Advertisement please copy/paste the following text to properly cite this howstuffworks.com article: We earn a commission for products purchased through some links in this article. With just a few household items and our simple tips and tricks, that daunting coffee stain will be no more. Remove coffee stains effortlessly with these tips.

Remove Tea And Coffee Stains From Teeth / How to remove stains from braces on your teeth - Quora / It's no secret that virtually every airline is on the edge of going under these days, thanks to 9/11,.. Baking soda clean cloth white vinegar clean white cloth hydrogen peroxide l. We may earn a commission through links on our site. However, a tea stain in your clothing can bring you right back to square one. Tea is a hot beverage that over time can leave unsightly brown stains on your favorite plastic cups. If so, you've likely heard some buzzwords about superfoods.

Post a Comment for "Remove Tea And Coffee Stains From Teeth / How to remove stains from braces on your teeth - Quora / It’s no secret that virtually every airline is on the edge of going under these days, thanks to 9/11,."